Los puentes Ribbond en una única visita ofrecen resistencia, durabilidad y comodidad inmediata. Los puentes Ribbond son rentables y fiables. Excelentes para emergencias, implantes provisionales, ausencia congénita de laterales y pacientes que no pueden permitirse la fabricación de puentes en el laboratorio convencional. Utilice diente natural, diente protético, o un diente de composite.
Los puentes Ribbond en una única visita ofrecen resistencia, durabilidad y comodidad inmediata. Estos son rentables y fiables, excelentes para emergencias, implantes provisionales, ausencia congénita de laterales y para pacientes que no pueden pagar puentes de fabricación tradicional.
Puede utilizar un diente natural, un diente protético, o un diente de composite como póntico.


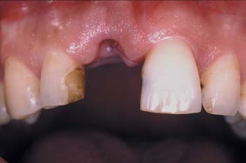
Si el espacio lo permite, se puede hacer un puente sin preparación de los pilares. Si no hay un espacio adecuado, será necesario realizar una ligera preparación. A continuación se muestra la fabricación de un puente de larga duración. Para puentes provisionales se puede utilizar una única capa de Ribbond.






Corte la raíz del diente extraído y rellene la cámara pulpar con composite.
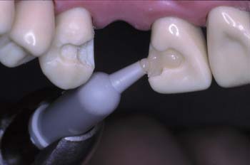
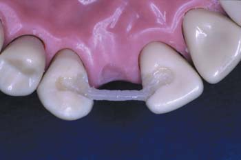
Construya la estructura del puente con Ribbond.
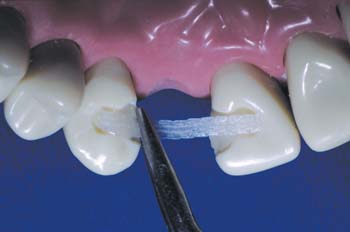
Prepare un surco en la zona lingual del diente extraído.
Una el póntico del diente natural a la estructura hecha con Ribbond con composite.
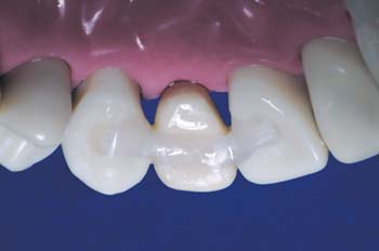
Seleccione y ajuste un diente protético en el espacio del póntico.
Construya la estructura del puente con Ribbond.
Prepare un surco en la zona lingual del diente protético para que encaje en la estructura Ribbond.
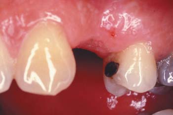
Utilice una pequeña fresa redonda para perforar pequeños agujeros en el póntico para tener una mayor retención mecánica. Aplicar chorro de arena en la ranura para una mejor retención.
Una el diente protético al póntico con composite.
Construya la estructura del puente con Ribbond.
Construya el póntico de composite sobre la estructura Ribbond utilizando su técnica habitual.

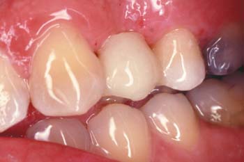
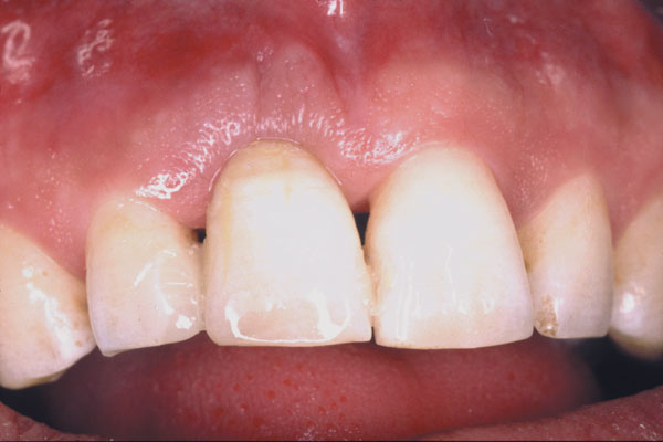
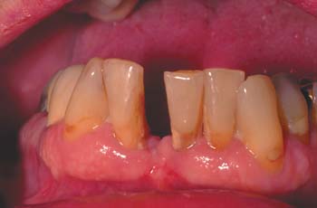
Este caso muestra a una anciana que perdió un incisivo central mandibular debido a severa movilidad periodontal. Se hizo una férula Ribbond incorporándola a la estructura dando soporte a un póntico del espacio edéntulo. La raíz del diente extraído fue cortada y esté se unió a la estructura. En la última revisión de este caso todavía estaba funcional después de siete años.
