Estos tutoriales ofrecen una visión general de las aplicaciones Ribbond, pero no sustituyen a las instrucciones que se incluyen con los kits de Ribbond.
Los retenedores fijos post-ortodoncia de Ribbond son una excelente alternativa a los alambres. Estéticos, cómodos y resistentes a la fractura. Los retenedores Ribbond son fáciles de hacer y se unirán a cualquier resina fotopolimerizable. Los retenedores Ribbond previenen la rotación de los dientes ya que se están adheridos en los contactos interproximales. Especialmente populares en adultos, los retenedores Ribbond tienen una alta aceptación en los pacientes.
Desde 1992 Ribbond ha sido la elección número uno entre las fibras de refuerzo para los evaluadores independientes. La facilidad de uso de Ribbond, durabilidad y estética la convierten en una excelente opción para la retención post-ortodoncia.
Los retenedores Ribbond se hacen directamente y se pueden unir a cualquier composite fotopolimerizables. Para retenedores permanentes, algunos pacientes prefieren integrarlos por debajo de la preparación superficial.
Ribbond está disponible en varios tamaños.
Utilice Ribbond THM de ortodoncia para los dientes sanos con un 0.5 de movilidad o menos. Utilice 2 mm o 3 mm Ribbond-THM para casos periodontales con más de un 0.5 de movilidad.
Prepare los dientes para la adhesión utilizando su procedimiento habitual. Aplique una capa delgada de pasta de resina al nivel de los contactos interproximales

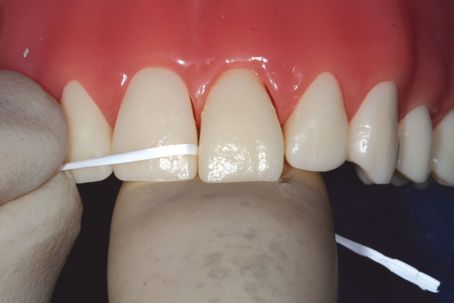
Humedezca la fibra Ribbond con un adhesivo sin relleno (sellador). Adapte la fibra en el composite. Al igual que con los brackets, el retenedor fijo de Ribbond debe estar unido al diente lo más estrechamente posible.

Sujete con el dedo la fibra ya adaptada. Utilice un instrumento para colocar la fibra en los contactos interproximales lo más cerca posible de la superficie del diente. Continúe diente tras diente hasta colocar todo el retenedor.

La colocación de un retenedor Ribbond es diferente al de un alambre. Ribbond se adapta lo más cerca posible y muy profundamente en los contactos interproximales.
Después de la colocación, quite la resina sobrante y polimerice.

Usando pinceles aplicadores, instrumentos o jeringas con punta de aguja, aplique una capa delgada de resina fluida sobre la fibra. Polimerice.

Estético y cómodo, el retenedor de Ribbond está finalizado.


Realice un surco poco profundo en el nivel de los contactos interproximales de los dientes con una fresa de diamante redonda #4 y prepárelos para la unión.

Coloque una fina capa de composite en la preparación. Humedezca la fibra con adhesivo y presiónela a través del composite contra la base de la preparación. Polimerice.

Aplique una fina capa de composite adicional de modo que el retenedor quede nivelado con la estructura del diente circundante. El retenedor acabado “desaparece” dentro del composite sin ningún bulto

A diferencia de un alambre de metal, Ribbond ofrece una estética superior y no es visible.

Coloque una capa delgada de composite sobre la preparación para la retención.
Una vez húmedo cambiara de color blanco a translucido.


Presione la fibra Ribbond a través de la resina contra los dientes y polimerice.
Si utiliza acrílico, humedezca la fibra polimerizada con monómero.
Mantenga la fibra Ribbond hacia la región gingival en el póntico.

Inyecte la resina en el puente provisional gingivalmente sobre Ribbond.

Ribbond queda visible en la
Puente provisional de composite finalizado
Los puentes Ribbond en una única visita ofrecen resistencia, durabilidad y comodidad inmediata. Estos son rentables y fiables, excelentes para emergencias, implantes provisionales, ausencia congénita de laterales y para pacientes que no pueden pagar puentes de fabricación tradicional.
Puede utilizar un diente natural, un diente protético, o un diente de composite como póntico.


Si el espacio lo permite, se puede hacer un puente sin preparación de los pilares. Si no hay un espacio adecuado, será necesario realizar una ligera preparación. A continuación se muestra la fabricación de un puente de larga duración. Para puentes provisionales se puede utilizar una única capa de Ribbond.






Corte la raíz del diente extraído y rellene la cámara pulpar con composite.
Construya la estructura del puente con Ribbond.
Prepare un surco en la zona lingual del diente extraído.
Una el póntico del diente natural a la estructura hecha con Ribbond con composite.
Seleccione y ajuste un diente protético en el espacio del póntico.
Construya la estructura del puente con Ribbond.
Prepare un surco en la zona lingual del diente protético para que encaje en la estructura Ribbond.
Utilice una pequeña fresa redonda para perforar pequeños agujeros en el póntico para tener una mayor retención mecánica. Aplicar chorro de arena en la ranura para una mejor retención.
Una el diente protético al póntico con composite.
Construya la estructura del puente con Ribbond.
Construya el póntico de composite sobre la estructura Ribbond utilizando su técnica habitual.

Este caso muestra a una anciana que perdió un incisivo central mandibular debido a severa movilidad periodontal. Se hizo una férula Ribbond incorporándola a la estructura dando soporte a un póntico del espacio edéntulo. La raíz del diente extraído fue cortada y esté se unió a la estructura. En la última revisión de este caso todavía estaba funcional después de siete años.

Ventajas del uso de Ribbond para evitar la flexión de las cúspides en los dientes que tienen síndrome del diente fracturado

Diente vital, funcional, cómodo y sin ninguna patología apical.

Basado en el trabajo de Jon C. Karna, DDS, "Tratamiento conservador del síndrome del diente fracturado", Dental Products Report, Septiembre de 2000.


La restauración de un diente tratado endondónticamente es un gran reto para el dentista restaurador. En el pasado, los postes y muñones prefabricados metálicos se colocaban con cemento lo cual solo creaba un ajuste con fricción entre el poste y el diente. Estos postes no ofrecían refuerzo estructural a los dientes que se estaban restaurando. En algunos casos también solían teñir el diente de gris y esto se traslucía a través de las restauraciones. Con los materiales de hoy en día, se pueden colocar postes y muñones estéticos que al mismo tiempo refuerzan el diente tratado endodónticamente.

Para mantener lo más fuerte posible la estructura de los dientes, se debe enfocar la reconstrucción de dientes tratados endodónticamente desde un enfoque de ingeniería. Estos principios fueron descritos por el Dr. Jack Nicholls.
Nicholls JI. Un enfoque de ingeniería para la reconstrucción de dientes endodonciados, J Clin Dent, 1:41-44, 1995.
Con esto en mente, una serie de pioneros en la odontología adhesiva, en restauraciones de dientes tratados endodónticamente como Hornbrook, Karna, Bartel y Antonson, comenzaron a utilizar la fibra de refuerzo Ribbond® para reforzar estructuralmente los dientes.

Fácilmente adaptable
Retención y antirotación
Este paciente tenía una corona de metal cerámica antiestética con un poste de metal de gran tamaño con el efecto grisáceo en el margen cervical. Aunque el color de la corona es aceptable para el paciente, la color a nivel gingival era inaceptable y exagerado, especialmente debido a la amplia sonrisa de la paciente. Ella quería reemplazar la corona por un central más estético.
Caso clínico: Dr. David Hornbrook
Se retiró la corona. Todo el diente estaba decolorado. Se eliminó todo residuo de eugenol limpiando el canal radicular con alcohol al 75%. Se realizó un blanqueamiento del incisivo central. Antes de este blanqueamiento se selló el canal radicular con un cemento de ionómero de vidrio para evitar la filtración del material de blanqueamiento en el conducto radicular. Después de esto, el diente quedo listo para ser restaurado estéticamente.
Basándose en la cantidad de diente en la corona, el acceso al canal y la oclusión se decidió utilizar un color neutro y la técnica de Ribbond de poste y muñón. La restauración final se hizo con una corona completa de cerámica.
La longitud del poste fue igual al de la altura final de la preparación coronal.

Técnica para la colocación de la fibra Ribbond de Refuerzo en el canal. Seleccione entre la fibra de 2 mm de ancho y 3 mm para canales más anchos, utilice al menos dos tiras de fibra adaptadas dentro del canal, humedezca la fibra con resina adhesiva y trate el conducto radicular con un procedimiento adhesivo.

Las fibras de polietileno de Ribbond están tratadas con plasma para permitir que la resina dental se una a su superficie.
Fibra de refuerzo Ribbond humedecida con resina adhesiva sin relleno






Se preparó el incisivo central para una corona de cerámica sin metal, se tomó impresión y se envió al laboratorio. Los extremos de la fibra Ribbond que sobresalían del borde incisal se cubrieron con una resina de composite fluido antes de realizar la impresión.
Nota: Los postes y muñones de Ribbond están diseñados para proporcionar retención. Se requiere una férula o una preparación que se extienda al menos 1,5 mm sobre el diente para apoyar la corona


En este paciente, el incisivo superior presentaba una fractura traumática y fue tratado endodónticamente. Nótese el gran espacio radicular debido al diente inmaduro, ápice abierto.
Caso Clínico: Bill Bartel, DDS


El diente fue tratado endodónticamente con apexificación utilizando hidróxido de calcio y luego se rellenó con gutapercha. Observe el gran espacio del canal y la delgada estructura interior del diente.

El diente fue restaurado como se ha descrito anteriormente, se grabó el canal radicular, se colocó adhesivo y un composite híbrido dual. Para este caso se utilizaron dos piezas de Ribbond de 3 mm que se colocaron en la resina usando un instrumento para endodoncia de Ribbond.


2 piezas de Ribbond de 3mm
colocadas dentro del canal
Debido a que el paciente era un joven adolescente la restauración final fue una Clase IV de composite. En la radiografía se ve como la fibra Ribbond se ha unido al composite.




Caso Clínico: Dr. David Hombrook, DDS.

En este paciente, el incisivo superior presentaba una fractura traumática y fue tratado endodónticamente. Nótese el gran espacio radicular debido al diente inmaduro, ápice abierto.
El diente fue tratado endodónticamente con apexificación utilizando hidróxido de calcio y luego se rellenó con gutapercha. Observe el gran espacio del canal y la delgada estructura interior del diente.

El diente fue restaurado como se ha descrito anteriormente, se grabó el canal radicular, se colocó adhesivo y un composite híbrido dual. Para este caso se utilizaron dos piezas de Ribbond de 3 mm. que se colocaron en la resina empleando un instrumento para endodoncia de Ribbond.

Debido a que el paciente era un joven adolescente la restauración final fue una Clase IV de composite. En la radiografía se ve como la fibra Ribbond se ha unido al composite.

Vista postoperatoria tras 3 años y medio

Combinación de composite microrelleno e híbrido.
Restauración de clase IV.


El resto de esta serie ilustra la durabilidad de la restauración de composite con la fibra de refuerzo Ribbond y la manera de agrietarse.
El composite se agrieta en un proceso similar al de un cristal de seguridad. Obsérvese que el composite se fracturó, pero se impidió su separación porque la fibra Ribbond estaba reforzando el ángulo distal-incisal. Como resultado no hubo daños en la raíz.







Obsérvese que el muñón está intacto

Casos y fotos cortesía de William Bartel, DDS


Mida los dientes y corte la fibra Ribbond. Haga una plantilla adaptando un pedazo de papel de aluminio o hilo dental a los dientes. Coloque el patrón en los contactos interproximales de la misma manera en que se adaptará la fibra Ribbond
Utilice pinzas de campo para retirar la fibra de su envoltura y cortar a la longitud medida. Coloque la pieza cortada sobre una superficie limpia hasta que esté lista para su uso.
Prepare las áreas interproximales linguales y labiales para el cementado. Limpie los dientes con un chorro de arena, pasta de profilaxis o utilice una fresa de diamante para raspar el esmalte antes de limpiar el diente. Las tiras de pulido se pueden emplear para limpiar los espacios interproximales. Prepare los dientes con su técnica de adhesión habitual, (piedra pómez, grabado con ácido, y una fina capa de adhesivo dentinario).
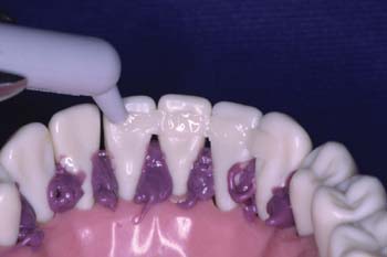
Técnica de estabilización y bloqueo opcional: Después del grabado dentario aplique vinil-polisiloxano en los espacios interproximales para bloquear estos espacios. Esto estabiliza los dientes durante la construcción de la férula y hace la limpieza más fácil. Las fotografías muestran instrucciones de esta técnica de bloqueo.
Nota: La lámpara del sillón dental puede provocar una polimerización prematura de las resinas. Dado que los siguientes pasos incluyen composites considere la opción de apagar dicha lámpara o bien emplear un filtro naranja.
Aplique resina en los espacios interproximales labiales. Para reducir la posibilidad de rotación o descementado del diente, aplique una pequeña cantidad de resina en la cara interproximal labial del diente. No presione la resina a través de la superficie lingual. Polimerice.
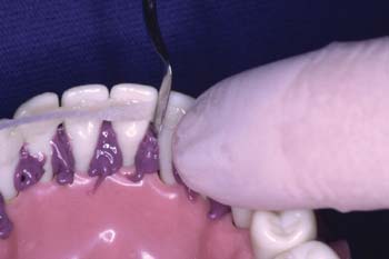
Humedezca la fibra Ribbond con resina. Impregne la fibra con adhesivo dentinario, sellador de fisuras o resina selladora. Quite el exceso con una gasa limpia o el babero del paciente. Ahora la fibra húmeda puede ser manipulada con los dedos o guantes sin talco. No polimerice la fibra aún.
Nota: Preferimos no utilizar adhesivos autograbables para humedecer la fibra Ribbond debido a que estos materiales contienen ácidos o acetona que debe evaporarse. Si se utilizan estos materiales, seque el exceso de resina con una gasa sin pelusa y luego sostenga la fibra Ribbond con pinzas de campo, evapore el disolvente con una jeringa de aire.
Aplique resina con relleno a los dientes. Aplique una capa delgada de resina translúcida y de viscosidad media a nivel de las áreas de contacto interproximales. Una jeringa Centrix hace que la aplicación sea más fácil. No polimerice todavía.
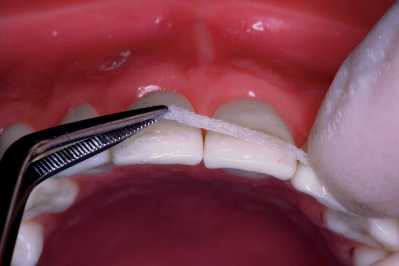
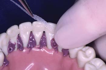
Adapte la fibra Ribbond. Sujete la fibra humedecida con unas pinzas de campo, posicione un extremo de la fibra en la resina sobre el diente. Presione la fibra a través del material con el dedo o un instrumento.
Adapte la fibra Ribbond en el contacto interproximal. Para evitar que la fibra ya adaptada se salga manténgala en su posición con un dedo o un instrumento. Coloque la fibra Ribbond lo más profundamente en los espacios interproximales con un instrumento. Continúe diente por diente hasta adaptarla en toda su longitud. No polimerice todavía.




Empleando una jeringa o un pincel, cubra la férula con una resina fluida. Moldee la capa de resina lo más delgada y fina posible antes de polimerizar.
Si no se cuenta con resina fluida, aplique una capa delgada de resina con relleno sobre la férula y humedézcala con guantes limpios humedecidos previamente con adhesivo dentinario.
Nota: Si se ha preparado un surco en el diente, cubra Ribbond con resina con relleno. Polimerice.

Revise la oclusión, termine y pula. Quite el exceso de resina y pula con una pasta para pulir resinas.
Ribbond no se pule bien.
No corte las fibras Ribbond.
La férula terminada es delgada, confortable y estética.
Howard Strassler, DMD,
Professor and Director of Operative
Dentistry Department of Restorative
Dentistry Dental School, University of Maryland
La enfermedad periodontal puede estar asociada con la pérdida de hueso y movilidad del diente. La decisión de ferulizar los dientes para el control de la movilidad debe basarse en:

A través de los años los dentistas han ferulizado los dientes con diversas técnicas. Una técnica conservadora implicaba el uso de una cobertura parcial de oro fundido cementada y unida a los dientes con pernos no paralelos atornillados a los dientes con movilidad. Una extensión de esta técnica utiliza retenes metálicos cementados con resina (puente Maryland).

Otras técnicas empleaban resina adhesiva y una malla de alambre incrustada en el composite, el alambre de ortodoncia se ataba alrededor de los dientes y se cubría con resina dental

Con la aceptación y predictibilidad de los procedimientos adhesivos, el uso de técnicas conservativas de adhesión en la ferulización de dientes ofrece una alternativa útil a los procedimientos de restauración más invasivos. Ha habido informes iniciales de técnicas clínicas con incrustación de alambres, agujas, nylon y malla de acero inoxidable en resinas restauradoras. La durabilidad de estas férulas fue limitada debido a la incapacidad de las resinas y los materiales de refuerzo para integrarse químicamente como una sola pieza. Los fracasos clínicos se produjeron debido a que estos materiales no podían soportar los continuos esfuerzos de las cargas soportadas por la férula durante el funcionamiento normal y la para-función.

A principios de 1990 se presentó la fibra de refuerzo Ribbond (Ribbond, Seattle, WA). Una fibra cruzada de polietileno adherente, biocompatible, estética y fácil de manipular que podría ser adaptada en una estructura de resina. Se han realizado muchos estudios sobre este tejido reforzado.

Este paciente se presentó con la queja principal de incomodidad en el funcionamiento de los dientes anteriores inferiores. Nótese la pérdida y recesión de encía.
La evidencia clínica de una enfermedad periodontal grave fue respaldada por las pruebas radiográficas en las que se observa una pérdida de hueso de más del 70% en los incisivos mandibulares y la presencia de un grado de movilidad 2 para los cuatro incisivos.
Se realizó una limpieza de los dientes y las raíces fueron alisadas. Tras la finalización de la terapia periodontal inicial, se tomó la decisión de inmovilizar los incisivos inferiores para tratar el traumatismo oclusal secundario. La técnica que se utilizo fue la colocación directa de una cinta reforzada ferulizada cementada con composite y extendida de canino a canino.
Se aislaron los dientes durante el procedimiento clínico con un dique de goma que se extendió a los primeros premolares. Debido a que los dientes tienen movilidad el dique es de fácil de colocar. Es especialmente importante que los agujeros perforados para el dique de goma dejen al menos 2 mm de dique entre espacios y que los agujeros para los incisivos mandibulares sean tan pequeños como sea posible.
Los dientes se limpiaron en la superficie facial y lingual utilizando una copa de profilaxis con una pasta de piedra pómez no fluorada. Los dientes fueron aclarados y secados completamente. Las superficies interproximales de los dientes se limpiaron y se prepararon con CeriSander (Den-Mat, Santa María, CA) una tira de diamante para acabado de grano medio sujeta en una segueta.
Para minimizar el volumen de la férula se realiza una preparación definitiva de los dientes en las superficies linguales del #22-27, utilizando una fresa de 330 con una profundidad de entre 0,5 y 1 mm. La anchura del canal se determina por el ancho de la fibra Ribbond seleccionada. En la mayoría de los casos no será necesario anestesia porque la preparación sólo se hará en el esmalte. El canal de preparación se extiende sólo a la mitad mesial de los caninos.
Otra ventaja de usar una preparación de canal es que la cinta de refuerzo Ribbond recortada se coloca fácilmente en este durante el procedimiento de restauración.
Con este paciente los dientes se prepararon utilizando una fresa de 330 con un canal de 1 mm de profundidad y anchura de 3 mm para dar cabida a una fibra Ribbond de 3 mm de ancho. La preparación adicional del diente en la cara interproximal también se hizo utilizando una fresa de diamante puntiaguda de composición fina para dejar espacio adicional para el composite.
La longitud de Ribbond se determinó mediante la colocación de un pedazo de hilo dental en el canal lingual y cortando una longitud igual al hilo de fibra Ribbond con las tijeras especiales incluidas en el kit. Es importante utilizar las tijeras especiales porque las fibras de polietileno son muy duras y resistentes al corte incluso al de otras tijeras dentales muy afiladas.
La fibra Ribbond se impregnó con resina adhesiva Tenure S (Den-Mat, Santa Maria, CA) y se secó con la servilleta del paciente para eliminar el exceso de resina. Se humedeció con unas pocas gotas de adhesivo dental, se apartó y se cubrió para mantenerla fuera de la luz hasta su colocación en los dientes.
En algunos casos como en los puentes directos de composite o en pónticos de diente natural combinados con férula periodontal utilizaremos una segunda pieza de Ribbond para reforzar el póntico.
Los dientes son grabados durante 30 segundos con un grabador de ácido fosfórico en gel (UniEtch, Bisco dental, Schaumburg) asegurándose que los flujos del ácido grabador fluyen entre todos los dientes que se van a ser ferulizados y las superficies faciales. El grabador se mantiene lejos de todas las superficies radiculares expuestas para evitar el aumento de sensibilidad de la raíz. Los dientes se enjuagaron después con un pulverizador de aire-agua durante 10 segundos y se secaron suavemente
Las superficies grabadas de los dientes tienen una apariencia escarchada. Obsérvese que las superficies más distales de los dientes # 22 y # 27, se han colocado matrices metálicas interproximales para mantener la separación. Estas matrices son bandas de amalgama convencionales que han sido cortadas en pequeños rectángulos. El autor las prefiere para este uso por su rigidez.
Se colocaron cuñas interproximalmente de forma pasiva para que los dientes movibles no adopten una nueva posición. Las cuñas ayudan a limitar el flujo de la resina de composite en el área de la tronera gingival.
En este otro caso nótese una reciente innovación para la gestión del exceso de composite que fluye en los espacios gingivales por interproximal es el uso de un material de impresión de polisiloxano con jeringa auto mezcladora para los espacios interproximales. La mayoría de las veces las cuñas no se adaptan por completo en la tronera gingival y la limpieza del exceso de resina de composite es más lenta. Es muy importante que los dientes estén grabados y secados previamente antes de utilizar esta técnica de bloqueo.
Si bien cualquier material de impresión elastomérico puede utilizase y colocarse empleando una jeringa de impresión, el autor ha considerado que un material de impresión de polisiloxano auto mezclable de consistencia pesada o media es el más fácil de usar.
Una resina adhesiva (Tenure S, Den-Mat, Santa Maria, CA) es aplicada a las superficies de esmalte grabado, incluyendo las superficies interproximales y áreas interproximales faciales utilizando un pincel desechable. No polimerizar hasta que se aplique la resina de composite. Si la dentina o el cemento están incluidos en la restauración, estas áreas deben ser tratadas con un grabador de dentina y el adhesivo que utilice. En la mayoría de los casos, la preparación y la restauración es sólo en el esmalte.
Se colocará composite entre las áreas interproximales. Esta extensión facial del composite funcionara como una férula cruzada para cada diente para prevenir movimientos o roturas de la férula definitiva. También el composite sellara las áreas interproximales evitando caries recurrentes, proporcionando un reborde de composite de 180 grados a cada uno de los dientes ferulizados y estabilizando los dientes previniendo cualquier movimiento al colocar el composite y Ribbond en el canal lingual.
Se dispensó un composite híbrido de viscosidad media, Prisma TPH (calafatear / Dentsply, Milford, DE) en carpule en las superficies faciales de todas las áreas interproximales de los dientes que se ferulizaron.
Se forman las superficies vestibulares y después se polimerizan durante 40 segundos. Este paso es importante porque una vez ferulizado, las superficies interproximales de los dientes adyacentes no se pueden limpiar adecuadamente. Este paso sella las superficies interproximales evitando que se conviertan en caries.
El composite se coloca en el canal lingual utilizando la punta de los carpules, el composite fluirá suavemente dentro del mismo.
Ribbond se inserta dentro del canal relleno de composite comenzando por el extremo distal del canal o el canino, presionando la fibra Ribbond dentro del composite. Al realizar este procedimiento el sobrante de composite rebasara. Se alisara y retirara el exceso de las superficies linguales antes de polimerizar. Se polimerizara las superficies linguales durante 60 segundos por diente.
Después de retirar cualquier irregularidad del composite polimerizado, las superficies de la restauración suavizarse. Esto se logra con una resina de composite fluido dispensado con una jeringa con punta de aguja. Se polimerizara la superficie lingual durante 40 segundos por diente.
Se retiró el dique de goma. Se dio forma al composite, se pulió retirando el exceso del material consiguiendo un resultado más estético. Las superficies vestibulares se contornearon utilizando una fresa de acabado en forma de balon de futbol americano (OS1F, Brasseler, USA, Savannah, GA) se pulió con una punta de óxido de aluminio Enhance, Caulk/Dentsply, Milford, DE) se terminó el pulido con un disco suave (3M, St Paul, MN).
Las superficies vestibulares son moldeadas con puntas abrasivas planas LAMINEER-S montadas en la pieza de mano Profin® (Dentatus EE.UU., Nueva York, NY). Esta pieza de mano tiene un movimiento de vaivén hacia atrás y adelante con las puntas Lamineer.

Es de gran importancia utilizar las puntas Lamineer para tener el acceso y control necesario para dar forma de manera delicada y precisa al composite o al exceso de materiales endurecidos en la zona interproximal. El acceso a los márgenes gingivales es muy limitado debido a que los dientes están ferulizados. Las tiras de acabado no funcionan bien en la raíz y en las superficies interproximales redondeadas o cóncavas. Del mismo modo, están contraindicadas las piezas de mano con diamantes rotatorios y fresas, ya que invariablemente crean troneras antinaturales y superficies irregulares.
Las puntas LAMINEER tienen una variedad de partículas de grano de diamante abrasivo que van desde 150 a 15 micrones para dejar un acabado y pulido suave y muy brillante.
El pulido final y el acceso a zonas difíciles para el pulido se realiza con pasta de pulir composite dispensada a través de las puntas de plástico huecas Lamineer o con una punta deformable en forma de V (Dentatus EEUU, Nueva York, Nueva York). Estas puntas en forma de V se expanden y se adaptan a la forma de los espacios interproximales.
Con las troneras abiertas, se enseña al paciente cómo mantener y limpiar los espacios con un cepillo interproximal.
Con la ferula lingual de composite reforzada con Ribbond terminada, el paso final es la verificación de la oclusión, comprobando que no ha habido nigún cambio y que el paciente acepta la estética.
La férula acabada proporciona estabilidad a los dientes y mayor funcionalidad sin aumentar el volumen.

Las radiografías de la férula acabada verifican la unión de los incisivos con periodontitis.

Lecturas ampliadas
Tarnow DP, Fletcher P: Splinting of periodontally involved teeth: indications and contraindications. New York State Dental Journal, 52(5):24, 1986
Strassler HE, Serio FG: Stabilization of the natural dentition in periodontal cases using adhesive restorative materials. Periodontal Insights 4(3):4-10, 1997
Christensen G: Reinforcement fibers for splinting teeth. In CRA Newsletter 21(10):1, 1997
Hay tres tutoriales de férulas Ribbond. Por razones educativas cada tutorial puede ser visto de manera independiente. Estos programas tienen las mismas primeras cinco páginas.
La enfermedad periodontal puede estar asociada con la pérdida de hueso y movilidad del diente. La decisión de ferulizar los dientes para el control de la movilidad debe basarse en:

Otras técnicas empleaban resina adhesiva y una malla de alambre incrustada en el composite, el alambre de ortodoncia se ataba alrededor de los dientes y se cubría con resina dental.

Con la aceptación y predictibilidad de los procedimientos adhesivos, el uso de técnicas conservativas de adhesión en la ferulización de dientes ofrece una alternativa útil a los procedimientos de restauración más invasivos. Ha habido informes iniciales de técnicas clínicas con incrustación de alambres, agujas, nylon y malla de acero inoxidable en resinas restauradoras. La durabilidad de estas férulas fue limitada debido a la incapacidad de las resinas y los materiales de refuerzo para integrarse químicamente como una sola pieza. Los fracasos clínicos se produjeron debido a que estos materiales no podían soportar los continuos esfuerzos de las cargas soportadas por la férula durante el funcionamiento normal y la para-función.
A principios de 1990 se presentó la fibra de refuerzo Ribbond (Ribbond, Seattle, WA). Una fibra cruzada de polietileno adherente, biocompatible, estética y fácil de manipular que podría ser adaptada en una estructura de resina. Se han realizado muchos estudios sobre este tejido reforzado.

La queja principal de este paciente era la incomodidad durante el funcionamiento de los dientes anteriores inferiores. Nótese la pérdida y recesión de encía. Todos los incisivos tenían grado 2 de movilidad.

Otro factor que complicaba el caso fue que el paciente había completado dos años de tratamiento de ortodoncia para cerrar el espacio que existía en anteriores debido a la pérdida de un incisivo central por enfermedad periodontal. Hay evidencia radiográfica de pérdida de masa ósea de más del 70% en el incisivo central restante.
Se realizó un raspado radicular. Tras la finalización de la terapia inicial periodontal, se tomó la decisión de inmovilizar los incisivos inferiores con el fin de tratar el traumatismo oclusal secundario. La técnica que se utilizo fue una ferulización que se extendía de canino a canino sin preparación del diente.

Para el procedimiento clínico se aislaron los dientes utilizando un dique de goma que se extendía bilateralmente hasta los segundos premolares. Debido a la movilidad y los espacios interdentales la colocación del dique fue muy fácil.
Se realizó una profilaxis vestibular y lingual utilizando una copa y pasta de piedra pómez. Los dientes se aclararon y secaron completamente. Las superficies interproximales se limpiaron utilizando fresas de diamante finas y CeriSander (Den-Mat Santa Maria, CA) una tira de diamante para acabado de grano medio sujeta en una segueta.
Para este caso, la férula se colocó en la superficie lingual sin preparación del diente. Dependiendo de la posición de los dientes y la experiencia del profesional, se puede colocar la fibra de refuerzo directamente en la superficie lingual o en un canal preparado. En caso de dientes rotados, es aconsejable realizar un canal ya que la férula de los dientes anteriores será menos voluminosa.
Para determinar la longitud de Ribbond necesaria se puede utilizar un trozo de hilo dental colocándolo de distal a distal de la férula, ya sea en un modelo o directamente sobre los dientes. El hilo dental se adaptará a la superficie lingual. La longitud de hilo determinada servirá de modelo para cortar el tamaño de Ribbond necesario. Es importante utilizar las tijeras especiales porque las fibras de polietileno son muy duras y resistentes al corte incluso al de otras tijeras dentales muy afiladas.
Se impregnó la fibra Ribbond con resina adhesiva, y se retiró el exceso utilizando la servilleta del paciente. Se debe humedecer la fibra solo ligeramente. Apartar la fibra tapándola para que no se polimerice prematuramente antes de su colocación en los dientes.
Se grabaron los dientes durante 30 segundos con un gel de ácido fosfórico asegurandose que que se graban las superficies linguales y que el gel fluya en las superficies interproximales de todos los dientes que van a ser ferulizados y sobre las superficies vestibulares. Para evitar el aumento de sensibilidad de la raiz, evitar el contacto con el grabador.
Los dientes se enjuagaron con un pulverizador de aire-agua durante 10 segundos y se secaron. Se aplico el adhesivo en todas las superficies, lingual, interproximal y vestibular. No polimerizar por lingual hasta que el composite y la fibra esten colocadas.
Se aplico composite en las areas vestibulares interproximales para estabilizar los dientes movibles antes de la colocacion de Ribbond por lingual. Esta extensión por vestibular también funcionará como férula cruzada para cada diente evitando asi su movimiento y la rotura de la férula. Las cuñas se colocan de forma pasiva para no mover los dientes y limitar el flujo del composite en el área de la tronera gingival.


Otra técnica para controlar el composite en las troneras gingivales es utilizar un material de impresión de polisiloxano con automezcla (silicona de adición) aplicando la jeringa en los espacios interproximales. La mayoría de las veces las cuñas no se adaptan bien en las áreas de las troneras y la limpieza de la resina composite es más lenta. Es muy importante que los dientes se graben y se sequen antes de utilizar esta técnica de bloqueo.
Se dio forma al composite por vestibular para obtener un minimo exceso y luego se polimerizó durante 30 segundos. El composite vestibular/ interproximal también sella los contactos interproximales frente a la caries recurrentes.
Si no se coloca el composite en las superficies vestibulares de las áreas interproximales creando un reborde de 180 grados para estabilizar los dientes, las fuerzas que afectarán a la férula durante la función masticatoria puede causar que el diente se separe de la férula. Este es un ejemplo de una férula donde el diente se ha separado debido a inadecuada aplicación del composite sobre la superficie vestibular.
Se aplico un composite hibrido de viscosidad media sobre la superficie lingual. La punta del carpule se mantuvo en angulo recto para que de esta forma el composite fluya en la superficie lingual con mayor facilidad.
La fibra Ribbond se centro en el tercio medio de la superficie lingual y se incrustó dentro del composite empezando por el extremo más distal de forma que habrá un ligero exceso de composite tanto por el borde incisal como gingival. Este exceso de composite se eliminará antes de polimerizar.
Tras eliminar el exceso de composite, se polimerizará la férula durante 60 segundos por toda la zona lingual para asegurarse que la luz penetra la fibra y el composite.
Esta es una vista de la férula por la cara lingual después de la fotopolimerización. Notese que la fibra esta cerca de la superficie y que esta es ligeramente irregular.
Después de eliminar las irregularidades de la superficie polimerizada del composite utilizando una fresa de acabado, se suaviza la superficie lingual de la fibra utilizando un composite fluido polimerizandolo de 20 a 40 segundos por diente. Si fuese necesario se pulirá.
Se moldearon las superficies vestribulares con puntas abrasivas de forma plana Lamineer-S montadas en la pieza de mano Direccional Profin (Dentatus EE.UU., Nueva York, NY). Profin tiene un movimiento de vaivén hacia atrás y adelante con las puntas Lamineer.
Es de gran importancia utilizar las puntas Lamineer para tener el acceso y control necesario para dar forma de manera delicada y precisa al composite o al exceso de materiales endurecidos en la zona interproximal. El acceso a los márgenes gingivales en las superficies interproximales es limitado debido a que los dientes están ferulizados. Las tiras de acabado no funcionan bien en la raíz y en las superficies interproximales redondeadas o cóncavas. Del mismo modo, están contraindicadas las piezas de mano con diamantes rotatorios y fresas, ya que invariablemente crean troneras antinaturales y superficies irregulares.
Las puntas LAMINEER tienen una variedad de partículas de grano de diamante abrasivo que van desde 150 a 15 micrones para dejar un acabado y pulido suave y muy brillante.
El pulido final y el acceso a zonas difíciles para el pulido se realiza con pasta de pulir composite dispensada a través de las puntas de plástico huecas Lamineer o con una punta deformable en forma de V (Dentatus EEUU, Nueva York, Nueva York). Estas puntas en forma de V se expanden y se adaptan a la forma de los espacios interproximales.
Con las troneras abiertas, se enseña al paciente cómo mantener y limpiar los espacios con un cepillo interproximal.
Con la ferula lingual de composite reforzada con Ribbond terminada, el paso final es la verificación de la oclusión, comprobando que no ha habido nigún cambio y que el paciente acepta la estética. La férula acabada proporciona estabilidad a los dientes y mayor funcionalidad sin aumentar el volumen.
Observese que se dió nueva forma a la superficie mesial del incisivo central para mejorar la estética en comparación con el incisivo lateral adyacente. La paciente comentó que podía volver a comer con los dientes delanteros sin ningún dolor. Los dientes no presentan ninguna movilidad.
Desde un punto de vista incisal la férula tiene un volumen mínimo. Las radiografías de la férula acabada verifican la unión de los incisivos con periodontitis. La radiografía muestra como la fibra está incrustada en el composite.
Este es otro ejemplo de una férula periodontal mandibular sin preparación del diente. Estos dientes han sido ferulizados previamente únicamente con composite. Cada cierto tiempo los dientes se liberan y la férula debe ser reparada.
No se realizó ninguna preparación en los dientes, solo se retiró el composite. La férula se fabricó como se describe anteriormente.
La férula Ribbond completa proporciona soporte y estabilización de los dientes anteriores inferiores comprometidos periodontalmente.

Lecturas ampliadas.
Tarnow DP, Fletcher P: Splinting of periodontally involved teeth: indications and contraindications. New York State Dental Journal, 52(5):24, 1986
Strassler HE, Serio FG: Stabilization of the natural dentition in periodontal cases using adhesive restorative materials. Periodontal Insights 4(3):4-10, 1997
Christensen G: Reinforcement fibers for splinting teeth. In CRA Newsletter 21(10):1, 1997

Con la aceptación y predictibilidad de los procedimientos adhesivos, el uso de técnicas conservativas de adhesión en la ferulización de dientes ofrece una alternativa útil a los procedimientos de restauración más invasivos. Ha habido informes iniciales de técnicas clínicas con incrustación de alambres, agujas, nylon y malla de acero inoxidable en resinas restauradoras. La durabilidad de estas férulas fue limitada debido a la incapacidad de las resinas y los materiales de refuerzo para integrarse químicamente como una sola pieza. Los fracasos clínicos se produjeron debido a que estos materiales no podían soportar los continuos esfuerzos de las cargas soportadas por la férula durante el funcionamiento normal y la para-función.
A principios de 1990 se presentó la fibra de refuerzo Ribbond (Ribbond, Seattle, WA). Una fibra cruzada de polietileno adherente, biocompatible, estética y fácil de manipular que podría ser adaptada en una estructura de resina. Se han realizado muchos estudios sobre este tejido reforzado
Las fibras de refuerzo periodontales tipicas, se fabrican para dientes anteriores inferiores. La longitud de su raíz y forma hace que estos dientes sean más susceptibles a la movilidad en presencia de destrucción periodontal.

Por lo general la oclusión no se ve afectada si la ferulización se realiza por lingual, ya que es prácticamente invisible y estética en esta zona. Esto es totalmente diferente si se trata de férulas periodontales maxilares.

En caso de dientes maxilares anteriores con destrucción periodontal y movilidad significativa, una oclusión ajustada interferirá con la colocación de una férula directa de composite reforzada con fibras en la zona lingual.

Incluso con una preparación del canal lingual, la capa del composite junto con la fibra aun siendo mínima se irá desgastando exponiendo las fibras. Las fibras expuestas en contacto con la lengua se mancharán.

En este caso después de 5 años las fuerzas oclusales naturales han desgastado y expuesto la fibra. Esto es lo que los profesionales describen habitualmente como un fallo del material. No lo es. Este problema se asocia a una mala planificación del tratamiento. Este tutorial presenta una ferulización de dientes maxilares evitando problemas anteriores.

Cuando existen contactos oclusales en la superficie lingual de los dientes maxilares se puede realizar una preparación del canal en la superficie vestibular. La preparación del canal se hace utilizando una fresa 330 dando una profundidad de 0.5 a 1 mm extendiéndose desde al menos la mitad mesial del canino. El ancho del canal vendrá determinado por el ancho de la fibra de refuerzo elegida.

En este caso, el paciente presenta una destrucción periodontal grave del segmento anterior maxilar izquierdo que incluye los incisivos y el canino. El incisivo lateral y el canino tienen un grado 2 de movilidad y una pérdida de masa ósea de más del 60%. El paciente se queja de dolor durante la masticación e incomodidad en los dientes la mayor parte del tiempo.

Se tomó la decisión de ferulizar utilizando composite y la fibra de refuerzo Ribbond. Se realizó este tratamiento debido a la ajustada oclusión y a la necesidad de mantener los contactos oclusales. También, era aconsejable una férula en vestibular porque las fuerzas de oclusión se ejercían sobre la superficie de adhesión.

Se realizó un raspado radicular. Tras la finalización de la terapia inicial periodontal, se llevó a cabo el tratamiento para ferulizar los incisivos y caninos por el traumatismo oclusal secundario.

Se aislaron los dientes para el procedimiento clínico con un dique de goma. Debido a la movilidad de los dientes y la separación de los mismos el tratamiento fue fácil de aplicar
Los dientes se limpiaron en la superficie facial y lingual utilizando una copa de profilaxis con una pasta de piedra pómez y agua. Las superficies interproximales se limpiaron utilizando fresas de diamante finas y tiras de acabado.

A causa de la oclusión tan ajustada, la férula se colocó en la superficie vestibular con una preparación de canal. Este se realizó utilizando una fresa de 330 con una profundidad de entre 0,5 y 1 mm y extendiéndose desde la mitad mesial del primer premolar hasta el incisivo central. La anchura de 2 mm del canal se determina por el ancho de 2 mm de la fibra Ribbond. Se grabaron los dientes durante 30 segundos, se enjuagaron y se secaron. Se aplicó el adhesivo en las superficies grabadas. No polimerizar hasta colocar el composite.


La longitud necesaria de Ribbond se determinó mediante la colocación de un trozo de hilo dental entre los puntos distales de la férula. El hilo dental se adaptará a la superficie facial. Se corta la longitud del hilo actuando como plantilla.

Se impregnó la fibra Ribbond con resina adhesiva, y se retiró el exceso utilizando la servilleta del paciente. Se debe humedecer la fibra solo ligeramente. Apartar la fibra tapándola para que no se polimerice prematuramente antes de su colocación en los dientes.

Cuando el área de las troneras gingivales es muy ajustada puede ser necesario bloquearla para poder retirar los restos del composite en menos tiempo. Una técnica conveniente es utilizar un polisiloxano automezclable (silicona de adición) aplicando este material de impresión en los espacios interproximales gingivales. Es muy importante que los dientes se graben y se sequen antes de utilizar esta técnica de bloqueo.


En la superficie vestibular se aplicó un composite hibrido de viscosidad media. La fibra Ribbond se colocó en el centro del canal presionándolo contra el composite, se retiró el exceso de este antes de la fotopolimerización
Una visión incisal muestra la adaptación de la fibra Ribbond en el canal dejando un mínimo en la superficie vestibular.

La férula finalizada ha estabilizado y ferulizado los dientes con un mínimo grosor. El paciente confirma que puede comer cómodamente con los dientes ferulizados.

En este caso, el paciente mostró su deseo de mantener sus dientes superiores y "conseguir tenerlos fijos". Se le diagnosticó una periodontitis grave con la mayoría de los dientes maxilares con movilidad de grado 2 o 3 y pérdida ósea del 70%. El pronóstico para estos dientes era bastante pobre.

Durante la planificación del tratamiento, se presentaron al paciente varias opciones de restauración junto con la terapia periodontal incluyendo una prótesis superior inmediata. La paciente eligió la ferulización directa con composite y fibra de refuerzo además de la cirugía periodontal porque no quería perder sus dientes.

Después de la terapia periodontal inicial y antes de la cirugía, se ferulizaron los dientes. Debido a la oclusión la férula se colocó en la superficie vestibular. Se preparó un canal amplio en forma de platillo usando fresa de diamante con forma de huevo. Se redujeron las áreas interproximales para que la colocación de la fibra Ribbond quede más lingualizada.
Como parte del plan de tratamiento, el canino faltante se reemplazó con un póntico de doble fibra reforzada con composite. La férula incluirá la mayor parte de los dientes superiores.
Como se ha descrito anteriormente, se cortó una pieza entera de Ribbond utilizando una plantilla de hilo dental. La pieza de Ribbond se extenderá para incluir los dientes maxilares restantes. Todos los dientes del canal se grabaron y se les aplicó adhesivo y composite.
En el área del canino faltante, se colocó una doble pieza de Ribbond para proporcionar fuerza estructural al área del póntico. La segunda parte de la fibra se extendió dentro de la cámara pulpar de los premolares tratados endodónticamente.
Una vista palatina muestra el doble espesor de Ribbond en la zona del póntico y cómo se rellenó la cámara pulpar de los primeros premolares tratados endodónticamente con composite soportado por la fibra. Se presionó la fibra hacia lingual en las áreas interproximales.
Una vez terminada la férula con Ribbond, se programó la cirugía periodontal para el paciente.
El tratamiento quirúrgico incluye remodelado óseo y el reposicionado gingival en las superficies vestibular y lingual.
El colgajo fue recolocado y suturado. Observe la posición más apical del composite añadido a la encía en la superficie vestibular. Como parte del plan de tratamiento de las superficies vestibulares de los dientes se restaurarán con carillas de porcelana.
Ocho semanas después de la cirugía, los tejidos se han cicatrizado bien. El periodoncista concedió la autorización para proceder con el tratamiento de restauración adicional.
Se realizó la preparación para la colocación carillas de porcelana en caninos e incisivos superiores. En algunos casos durante la preparación quedó expuesta la fibra por vestibular, pero no en las áreas de soporte. Se tomaron impresiones y se fabricaron las carillas de porcelana.
Copyright 1999 Howard
E. Strassler, D.M.D., F.A.D.M.
Dental School, University of Maryland
Ribbond ® es una marca registrada de Ribbond, Inc.
Las carillas de porcelana fueron enviadas por el laboratorio. Tenga en cuenta que las carillas se extendían sobre la superficie lingual y se fabricaron individualmente.
Copyright 1999 Howard
E. Strassler, D.M.D., F.A.D.M.
Dental School, University of Maryland
Ribbond ® es una marca registrada de Ribbond, Inc.
Se colocaron las carillas de porcelana. Los dientes quedaron unidos entre sí por la fibra Ribbond y el composite. Nota: A través de las radiografías la fibra Ribbond y el composite son visibles..
Copyright 1999 Howard
E. Strassler, D.M.D., F.A.D.M.
Dental School, University of Maryland
Ribbond ® es una marca registrada de Ribbond, Inc.
Lecturas ampliadas
Tarnow DP, Fletcher P: Splinting of periodontally involved teeth: indications and contraindications. New York State Dental Journal, 52(5):24, 1986
Strassler HE, Serio FG: Stabilization of the natural dentition in periodontal cases using adhesive restorative materials. Periodontal Insights 4(3):4-10, 1997
Miller TE: A new material for periodontal splinting and orthodontic retention. Compend Contin Educ Dent 14(6):800, 1993Christensen G: Reinforcement fibers for splinting teeth. In CRA Newsletter 21(10):1, 1997
Strassler HE, Scherer W, LoPresti J, Rudo D: Long term clinical evaluation of a woven polyethylene ribbon used for tooth stabilization and splinting. Journal of the Israel Orthodontic Society. 5(3):11, 1997 Strassler HE, Haeri A, Gultz JP: New-generation bonded reinforcing materials for anterior periodontal tooth stabilization and splinting, Dental Clinics of North America 43(1):105-126, 1999. Serio FG: Clinical rationale for tooth stabilization and splinting. Dental Clinics of North America 43(1):1-6, 1999. Pollack RP: Non-crown and bridge stabilization of severely mobile, periodontally involved teeth: a 25-year perspective. Dental Clinics of North America 43(1):77-104, 1999. For other references on Peridodontal Splinting and Stabilization go to Grateful Med and Search Copyright 1999 Howard E. Strassler, D.M.D., F.A.D.M.
Compruebe la oclusión y pula. Retire el exceso de composite y pula con una pasta de pulido con composite.
Ribbond no se pule bien.
No corte las fibras Ribbond.
La férula terminada es delgada, cómoda y estética.
El grado de rigidez está completamente controlado por el dentista. El grado de movilidad está determinado por lo cerca que el dentista adapta y une la fibra Ribbond a los contactos interproximales de los dientes, y la selección del ancho de la fibra para su tratamiento.
Cuanto más adaptada y pegada esté la fibra en los contactos interproximales de los dientes, más rígida será la férula. Y por el contrario, cuanto mayor sea la longitud de Ribbond que no esté adherida sobre los dientes en la región interproximal, menos rígida será la férula.
Cuanto más ancha sea la fibra Ribbond utilizada para la férula, mayor será la estabilidad frente a las fuerzas multidireccionales y aun así permanecerá semirrígida.
A: No se observa composite en los contactos interproximales.
B: Contaminar los contactos interproximales con hilo encerado para evitar su unión.
C: Ribbond adherido a los dientes con composite





Prof. Dr. F. Vinckier U.Z. KULeuven
