Desde férulas periodontales, fracturas difíciles y postes estéticos, a los fuertes puentes de una sola visita, el versátil Ribbond ofrece soluciones que son fiables, manejables y atractivas. El éxito y la aceptación por parte de Ribbond desde 1992 han hecho que sea una parte indispensable de los consultorios dentales en todo el mundo
Una fibra de refuerzo adherible que previene los fallos de fractura en composites dentales y acrílicos. Su combinación única de tejido patentado y fibras de alta resistencia dan unos resultados insuperables por cualquier otra fibra de refuerzo. Es perfecta para una amplia variedad de usos dentales.
Las férulas periodontales con Ribbond son fáciles de hacer, estéticas, delgadas y excepcionalmente resistentes a la fractura. Las férulas duraderas realizadas con Ribbond son una solución clínica rentable.
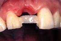
Los puentes Ribbond son fuertes, duraderos y estéticos. Construya la estructura directamente en la boca y use el diente natural, diente protético o uno de composite como póntico.
La razón más significativa por la que el usuario prefiere Ribbond es la manejabilidad sin igual de esta fibra.
Existen muchas aplicaciones para Ribbond. Compruebe cómo este producto puede mejorar sus servicios y cómo fibras más finas pueden beneficiarle.
Férulas periodontales
Endopostes y muñones
Puentes en una única visita
Puentes provisionales
Restauración con Composite
Estabilización por trauma
Show All
Existen muchas aplicaciones para Ribbond. Compruebe cómo este producto puede mejorar sus servicios y cómo fibras más finas pueden beneficiarle.
Lista completa de productos
Lista de distribuidores internacionales